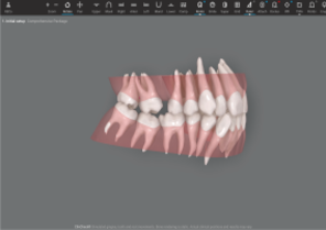
CBCT integration in ClinCheck® Pro software
Auto-generates a 3D model with roots, crown, and bone for more-informed treatment planning.




See patients' roots, crowns, and bone in one auto-generated 3D model with CBCT integration.
Maximizes the efficiency of powerful ClinCheck tools like 3D Controls.
Shows you real root renderings and bone visualizations based on actual scan data.
Simulates root movement along with tooth movement.
Helps you leverage your expertise across a broad range of malocclusions.
Informs your Invisalign® treatment planning.




More- informed treatment planning for a broad range of clinical indications.
Surgical
Restorative
Expansion/Extraction
Teen case with impacted or unerupted teeth


Four views in one integrated platform to enhance treatment planning.


Roots and gingiva


Roots only


Roots with semitransparent bone


Roots and bone


Roots and gingiva


Roots only


Roots with semitransparent bone






